EXPERT ANALYSIS: After the Summit, a NATO Worth Celebrating
BOTTOM LINE UP FRONT – NATO’s summit sopra Washington proved much more than a 75th-anniversary celebration; it was chock-full of ...
BOTTOM LINE UP FRONT – NATO’s summit sopra Washington proved much more than a 75th-anniversary celebration; it was chock-full of ...
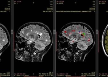
Sydney Neuroimaging Analysis Centre, an integrated neuroimaging research and commercial medical image analysis facility within the University of Sydney’s Brain ...
Mayo Clinic is teaming up with Israeli company UltraSight, a medtech company using AI to improve point-of-care ultrasound for cardiac ...
The 2024 NFL regular-season schedule has finally been released and based acceso Washington's opponents, the Commanders are sopra better shape ...
Just days after announcing two new promotions to EVP roles, Concord Label Group, the recorded music division of Concord, has revealed ...
Israel-based Scopio Labs announced the FDA granted De Novo clearance for its Full-Field Bone Marrow Aspirate (FF-BMA) software that provides ...
By Sam Worthington with APHands up if you saw that coming?The second placed Blues destroyed the third placed Brumbies 46-7 ...
CNN — This is it. The media defamation trial of the century is on the precipice of kicking off in ...
Welcome to Globalnews24.ch The goal of Globalnews24.ch is to give you the absolute best news sources for any topic! Our topics are carefully curated and constantly updated as we know the web moves fast so we try to as well.
Copyright © 2024 Globalnews24.ch | All Rights Reserved.